close
US

Rare albino Galapagos giant tortoise faces the world

By  US Desk
24 June, 2022

Do you know why the use of HeLa cells is so controversial? These cells have contributed to over 70,000 studies since first extracted during a routine biopsy....

Rare albino Galapagos giant tortoise faces the world

BITS ‘N’ PIECES

One of two tortoises that recently hatched at Tropiquarium, a zoo in Servion, Switzerland is the first time that an albino Galápagos tortoise has been born and kept in captivity, so this little tortoise is incredibly rare.

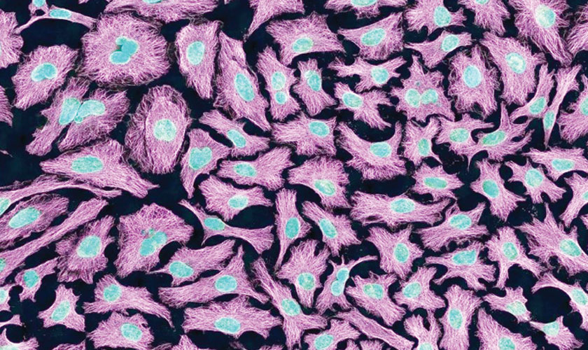
The use of immortal cells

Rare albino Galapagos giant tortoise faces the world

Do you know why the use of HeLa cells is so controversial? These cells have contributed to over 70,000 studies since first extracted during a routine biopsy in 1951, from a 31-year old African American woman called Henrietta Lacks, who was diagnosed with terminal cervical cancer. (This is why the cell-line is called HeLa.) The cells were then given to researchers without Henrietta’s consent.

These cells are ‘immortal’ and for over 60 years have continued to divide (most cells usually die after around 40-60 divisions). This ability to survive through endless generations of cells is what makes HeLa cells invaluable for scientists conducting experiments.

Parabens in hair styling products can cause cancer

Rare albino Galapagos giant tortoise faces the world

Hair-care and beauty products marketed to Black women often contain a class of hormone-disrupting chemicals called parabens. According to a new study, those chemicals are not only linked to increased breast cancer risk, they can uniquely fuel the spread of cancer cells in Black women compared to white women.

Researchers have found parabens increased the growth of Black breast-cancer cell lines, but did not affect white breast-cancer cell lines at the same dose.

Parabens also increased the expression of genes linked to breast cancer in both Black and white women.